QUANTICA EM AÇÃO

Conteúdo técnico, educativo e inspirador sobre inovação em ortopedia e sobre a Quantica.

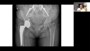
Aqui você encontrará conteúdos atualizados sobre a Quantica, sobre técnicas cirúrgicas, planejamento ortopédico, mobilidade, casos clínicos e inovações em saúde. Ideal para médicos, fisioterapeutas, distribuidores e também para pacientes em busca de informação qualificada sobre reabilitação ortopédica.